- Project Runeberg -  Kosmos / Band 10. 1932 /
216

Table of Contents / Innehåll | << Previous | Next >>
  Project Runeberg | Catalog | Recent Changes | Donate | Comments? |   

Full resolution (TIFF) - On this page / på denna sida - Röntgenstrålarnas användning inom den medicinska radiologien av fil. dr R. Thoræus

scanned image

<< prev. page << föreg. sida <<     >> nästa sida >> next page >>


Below is the raw OCR text from the above scanned image. Do you see an error? Proofread the page now!
Här nedan syns maskintolkade texten från faksimilbilden ovan. Ser du något fel? Korrekturläs sidan nu!

This page has been proofread at least once. (diff) (history)
Denna sida har korrekturlästs minst en gång. (skillnad) (historik)

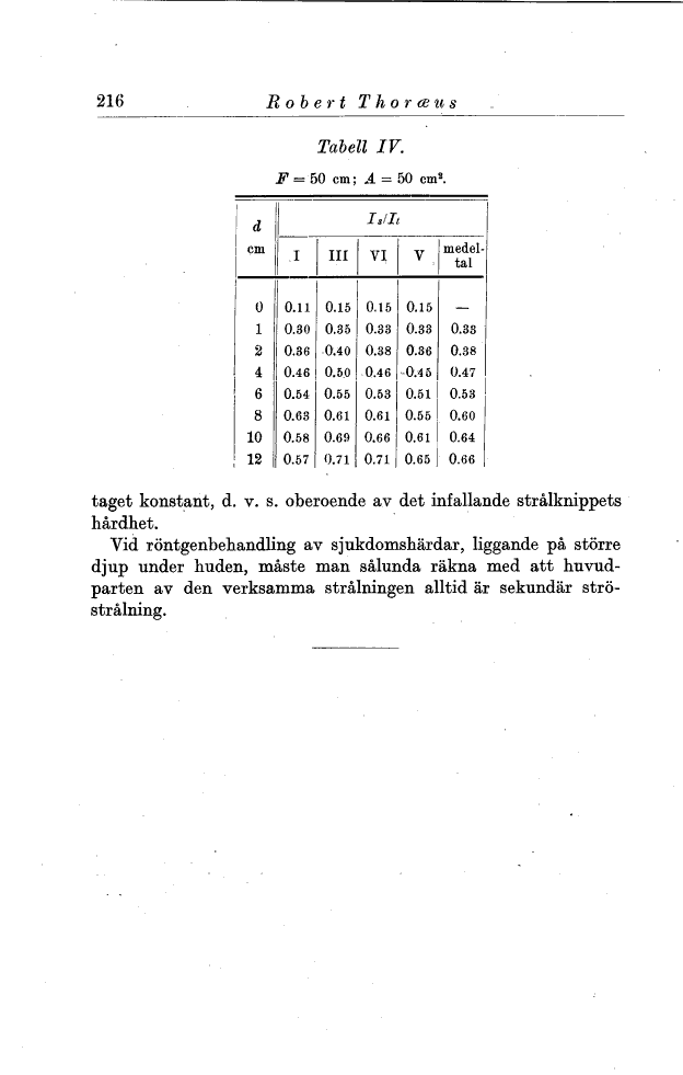
Tabell IV.
F = 50 cm; A = 50 cm2.
dIs/It
cmIIIIVIVmedeltal
00.110.150.150.15-
10.300.350.330.330.33
20.360.400.380.360.38
40.460.300.460.450.47
60.540.550.530.510.53
80.630.610.610.550.60
100.580.690.660.610.64
120.570.710.710.650.66

taget konstant, d. v. s. oberoende av det infallande strålknippets
hårdhet.

Vid röntgenbehandling av sjukdomshärdar, liggande på större
djup under huden, måste man sålunda räkna med att
huvudparten av den verksamma strålningen alltid är sekundär
ströstrålning.

*


<< prev. page << föreg. sida <<     >> nästa sida >> next page >>


Project Runeberg, Sun Dec 10 13:18:12 2023 (aronsson) (diff) (history) (download) << Previous Next >>
https://runeberg.org/kosmos/1932/0216.html

Valid HTML 4.0!All our files are DRM-free