- Project Runeberg -  Betraktelser öfver växtens bygnad och lif. /
37

(1875) [MARC] Author: Fredrik Wilhelm Areschoug
Table of Contents / Innehåll | << Previous | Next >>
  Project Runeberg | Catalog | Recent Changes | Donate | Comments? |   

Full resolution (TIFF) - On this page / på denna sida - Membranens betydelse

scanned image

<< prev. page << föreg. sida <<     >> nästa sida >> next page >>


Below is the raw OCR text from the above scanned image. Do you see an error? Proofread the page now!
Här nedan syns maskintolkade texten från faksimilbilden ovan. Ser du något fel? Korrekturläs sidan nu!

This page has been proofread at least once. (diff) (history)
Denna sida har korrekturlästs minst en gång. (skillnad) (historik)

cell förenar sig med en annan af samma beskaffenhet,
sammanflyta de helt och hållet. När t. ex. de rörliga, membranlösa
fortplantnings-cellerna eller de s. k. svärmsporerna hos
slemsvamparna förena sig med hvarandra, så sammansmälta de och
bilda den förut beskrifna, rörliga massan af urslem, hvaraf
hela slemsvampen under ett visst tillstånd utgöres (bild 13).
Men en förening af tvänne eller flere med cellulosa-membraner
omklädda celler kan endast försiggå genom sammanväxning af
deras membraner, hvarvid de bibehålla sig såsom mera
själfständiga bildningar och föga eller alldeles icke förändra sin

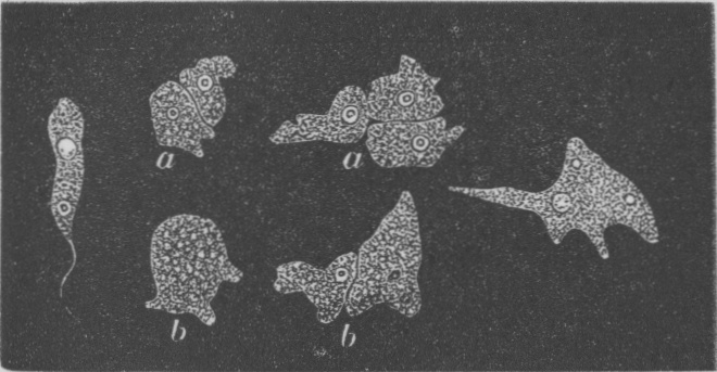
<b<span class=

Bild 13. Svärmsporer af en slemsvamp, som bilda nya individ; 1, en enkel

svärmspor; 2 a, tvänne svärmsporer, som hålla på att sammansmälta; 2 b, efter

sammansmältningen; 3 a, b, trenne svärmsporer i begrepp att förena sig; 4, en ung genom

svärmsporernas förening uppkommen slemsvamp.



form (bild 14). Cellmembranenia kunna därför sägas bilda
den fasta stommen till hela växtkroppen; genom dem kunna
cellerna, utan att förlora sin individuela själfständighet,
sammanväxa till sammanhängande väfnader, som bilda de högre
växternas yttre organ, och följaktligen erhåller hela växten
genom dessa väfnader en bestämd yttre gestalt.

Men cellulosa-membranerna spela tillika en mycket vigtig
rol vid växtens organiska verksamhet, i synnerhet vid
födoämnenas upphemtande utifrån och kringspridande i växtens
inre. Man har såsom en vigtig skilnad mellan djuret och
växten anfört, att den senare uteslutande lefver af flytande
eller gasformiga, det förra därjämte af fasta ämnen. Denna


<< prev. page << föreg. sida <<     >> nästa sida >> next page >>


Project Runeberg, Tue Dec 12 13:06:08 2023 (aronsson) (diff) (history) (download) << Previous Next >>
https://runeberg.org/vaxtbyg/0037.html

Valid HTML 4.0! All our files are DRM-free